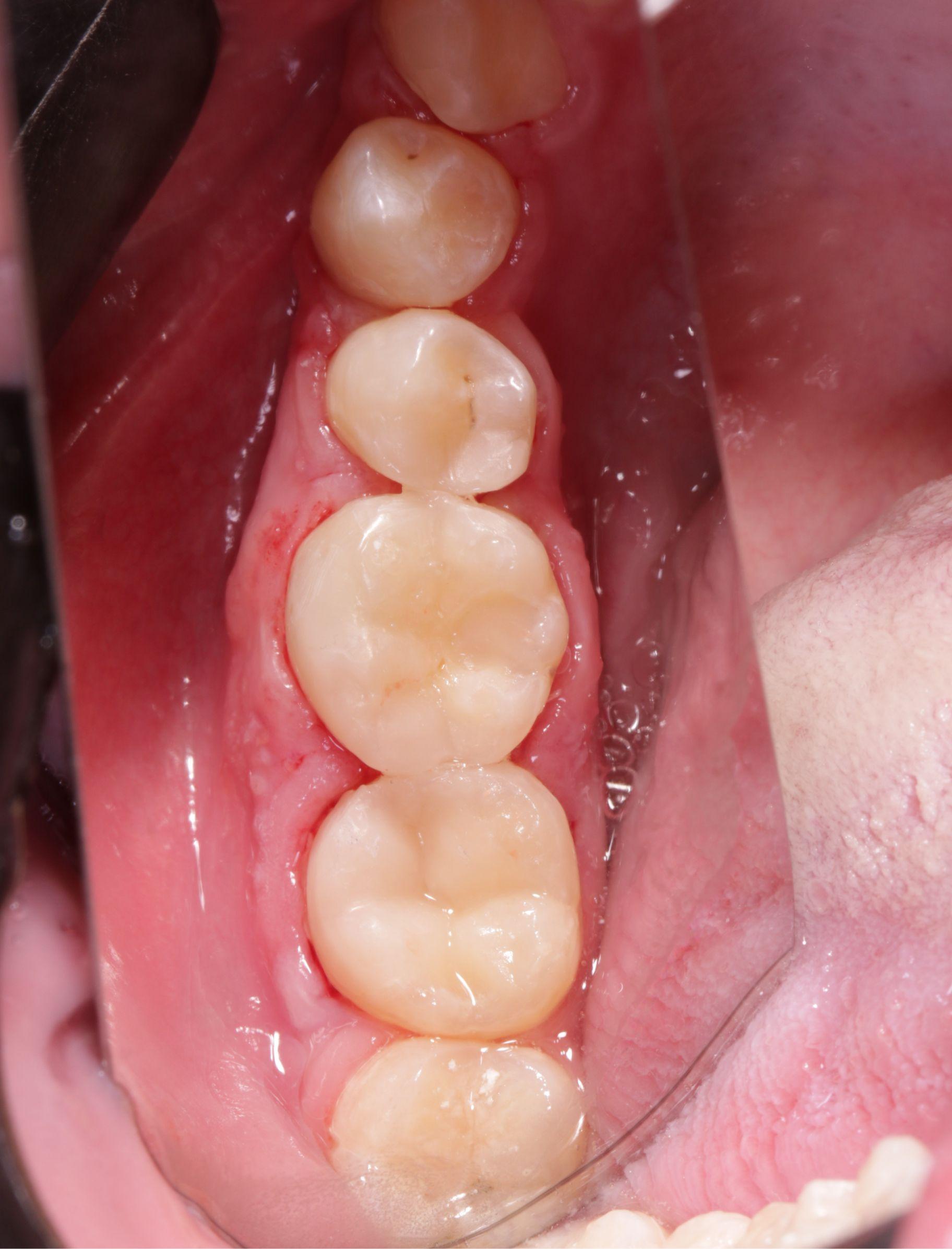
حشوات الاسنان

Before After

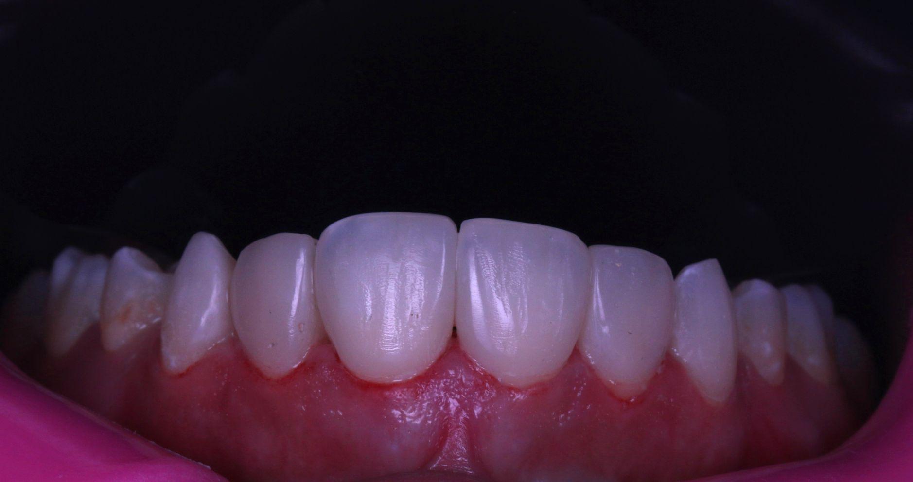
الحالة 1

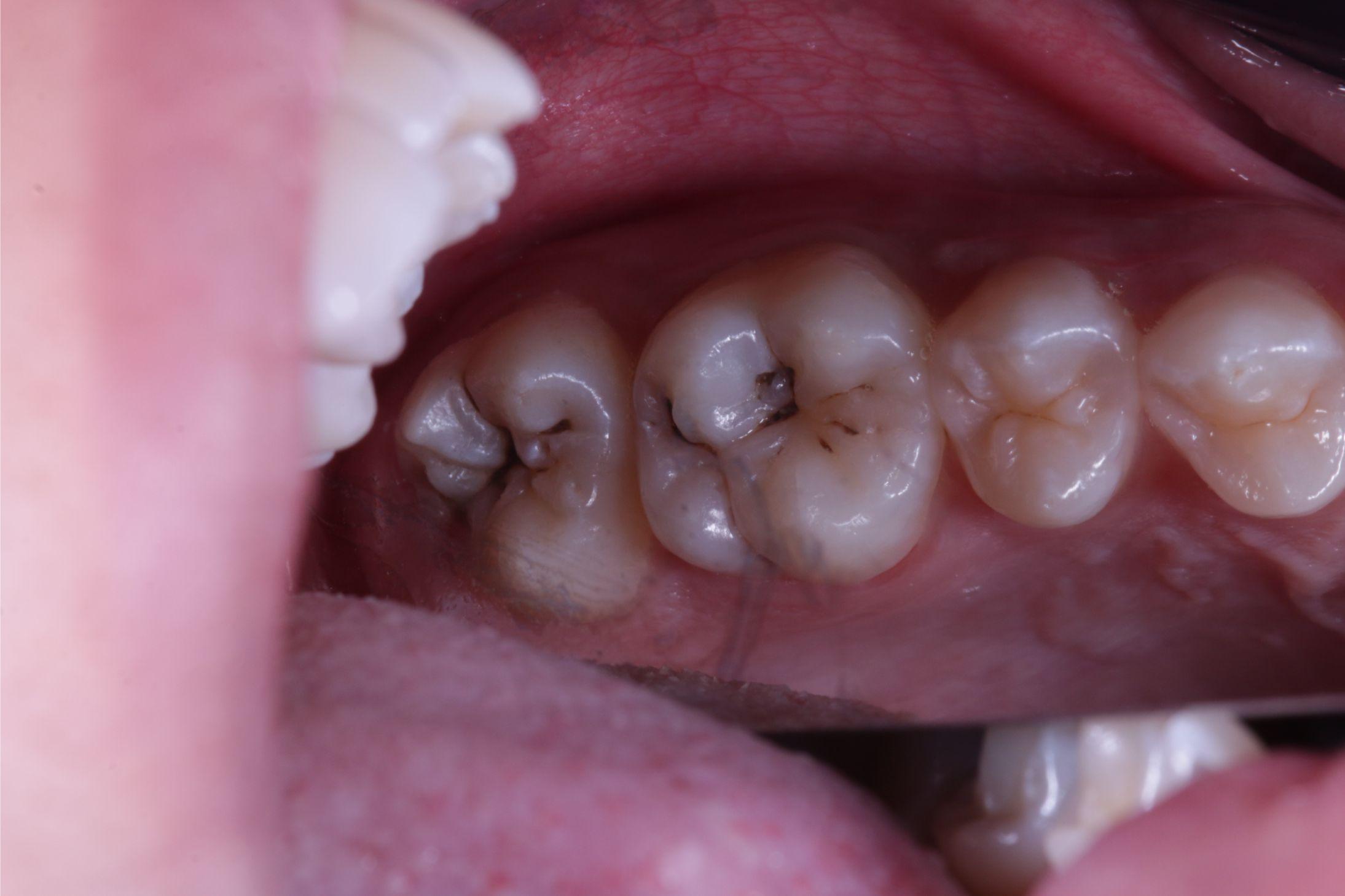
Before After

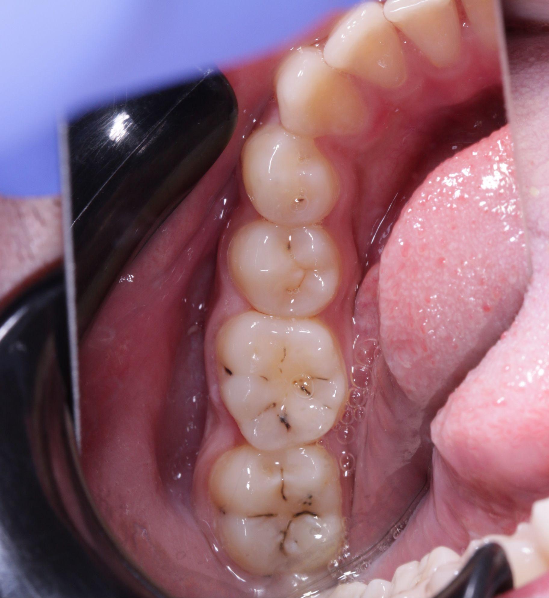
الحالة 2

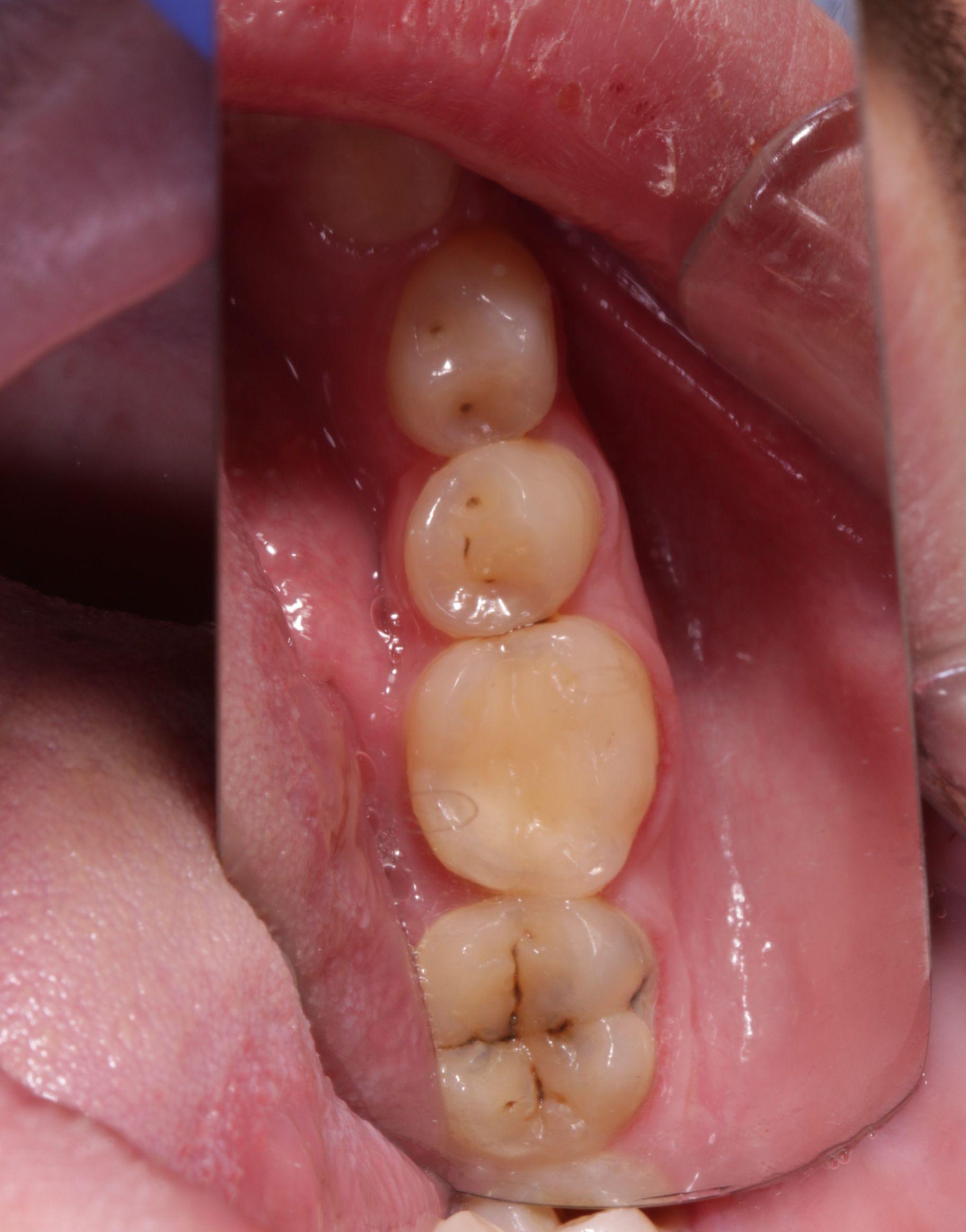
Before After

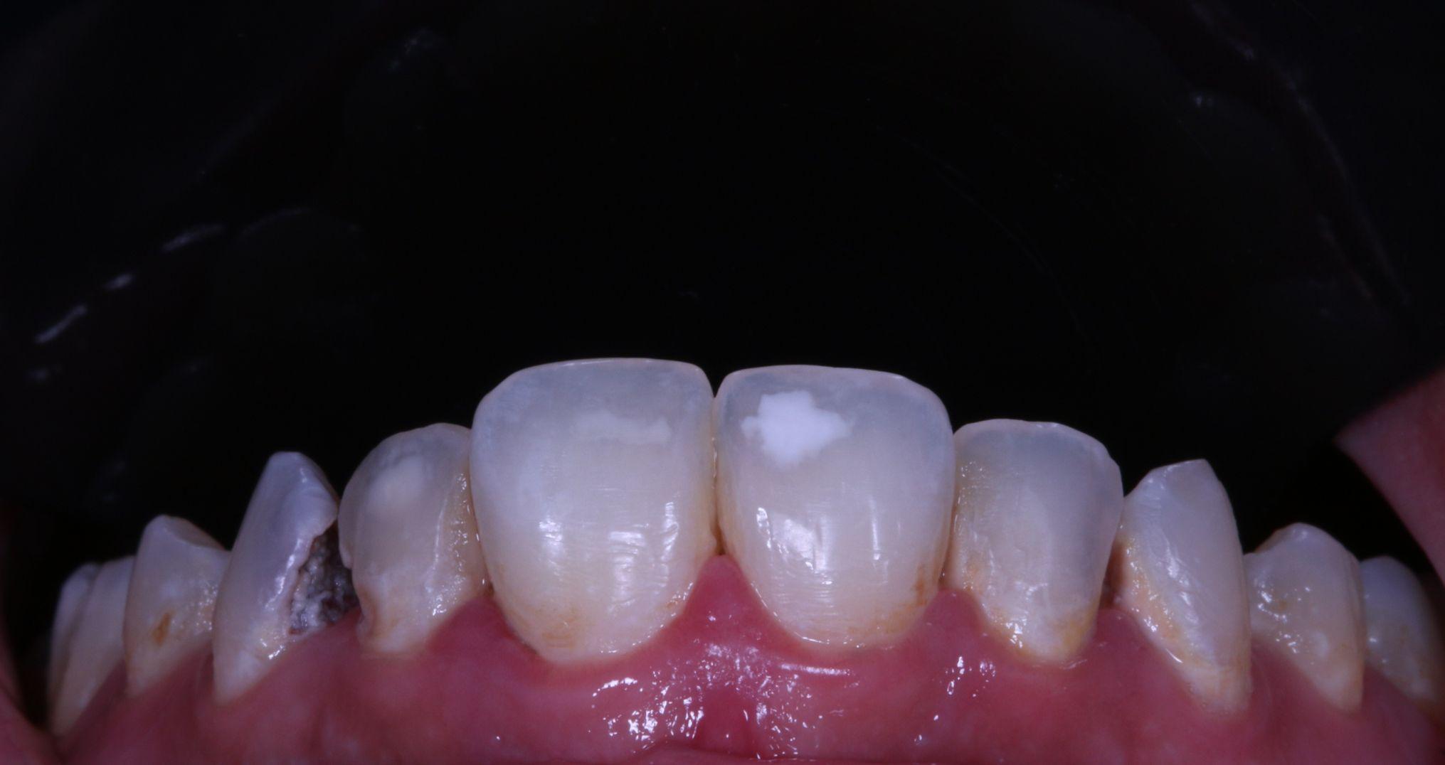
الحالة 3

Before After

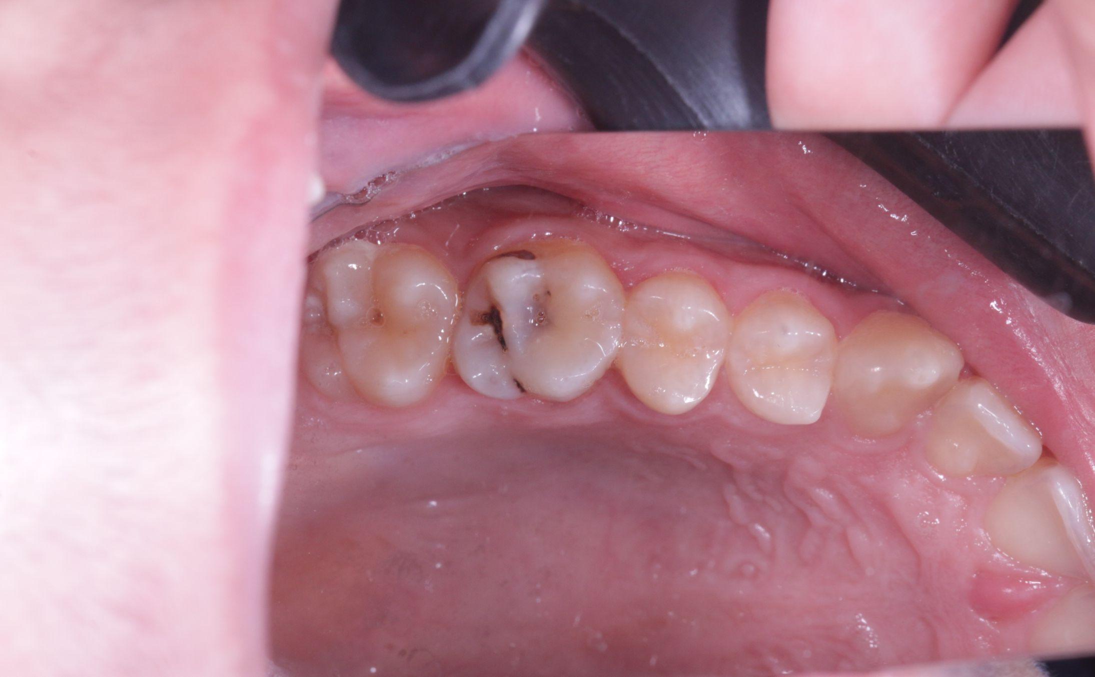
الحالة 4

Before After

الحالة 5

Before After

الحالة 6